Um homem de 44 anos na Tanzânia viveu por oito anos com uma faca alojada no peito sem saber. Ele só descobriu a lâmina após procurar atendimento médico devido a uma secreção com mau cheiro abaixo do mamilo direito. O caso, publicado no Journal of Surgical Case Reports, intrigou os médicos porque o paciente não apresentava outros sintomas, como dor no peito ou dificuldade para respirar.
Durante a investigação, o homem se lembrou de uma briga ocorrida quase uma década antes, na qual sofreu vários ferimentos, mas não fez exames de imagem.
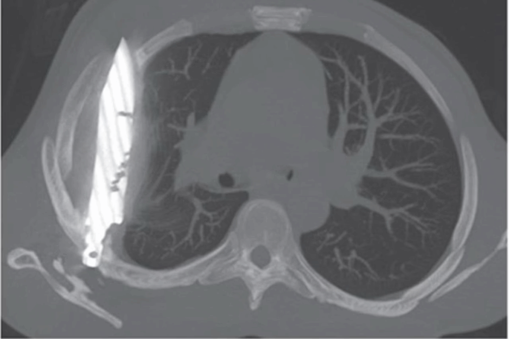
O raio-x revelou que a lâmina estava presa ao lado direito do tórax, encostada à escápula, mas não atingiu nenhum órgão vital. A secreção e o pus foram causados pela presença do corpo estranho e pelo tecido danificado ao redor. O paciente passou por uma cirurgia bem-sucedida para remover a faca e teve uma recuperação completa.

